Wisdom tooth surgery
Wisdom teeth are the last teeth that develop in your jaws, so there is often not enough space for the wisdom tooth to grow fully to the correct position in your mouth. Wisdom teeth in malay usually erupts between age 17 to 25 years old.
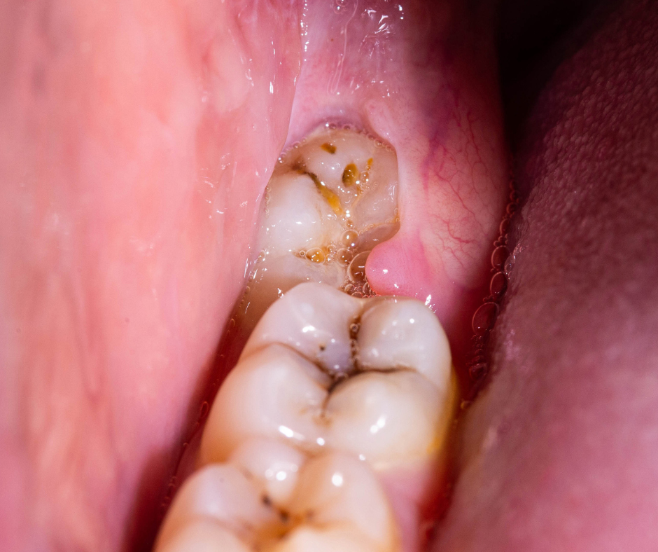
When wisdom tooth does not grow into their correct position and becomes partially covered by the gums or impacted against the adjacent molar tooth, it can cause a variety of issues.
 
															Issues caused by wisdom tooth
1) Gum infection (Pericoronitis)
When the impacted wisdom tooth is partially covered by gums, food might get easily stuck between the gums overlying the wisdom tooth and the tooth itself. Food stuck at the impacted wisdom tooth are usually not easily accessible for tooh brushing. As a result, gum infection will occur and this causes pain, swelling, pus discharge at the area.
 
															2) Tooth decay
When the impacted tooth hits the neighboring molar tooth, food always get stuck at the region and not easily cleansable. There will be a high risk of developing tooth decay on the wisdom tooth itself and the adjacent molar tooth.
The tooth decay on the adjacent molar are usually formed at the neck region of the tooth, which is hard to detect without X-rays and often very difficult to restore and have poor prognosis. If the adjacent molar is badly decayed, it might require removal together with the wisdom teeth in malay also. Therefore our dentists may suggest to remove the unfavorably positioned wisdom tooth before this happens.
 
											3) Cyst
On rare occasions, a fluid filled sac (Cyst) will form around the impacted tooth. Cyst formed by wisdom tooth are non malignant however they require removal as they resorbs your bone.
Risks of wisdom tooth surgery
Wisdom tooth surgery is a relatively safe procedure. Most patient will recover from wisdom tooth surgery without any issues. However, as any other surgeries, it has a low risk of developing some side effects.
- Bleeding -There maybe little bleeding at the time of wisdom tooth surgery and this usually stops within 30 minutes after the surgery. If the bleeding does not stop, which usually happens to patient with blood clotthing disorders and other disease, please contact our dental clinic immediately.
- Altered sensation to the lower lip and tongue. Two nerves lie quite close to the lower wisdom teeth. The nerves can vary in their proximity to wisdom teeth. See the image below. The lingual nerve provides sensation in your tongue whilst the inferior dental nerve gives sensation to the lower lip and skin overlying the chin. Occasionally these nerves may be bruised during tooth removal. If this happens then you may have either numbness or pins and needles in either the tongue, lower lip, skin over the chin or any combination of these. If the wisdom tooth is away from the nerve the risk to the inferior dental nerve is less than 1%, however if the nerve is in very close contact the risk may be as high as 9%. The risk to the lingual nerve is less than 0.5%. It may take up to 18 months for this to recover. Rarely the nerve may not recover fully and you may be left with small patches of numbness to your lip or chin. Taste is rarely affected.
- Infection- An infection to the extraction socket can happen if the area is not kept clean after the surgery. In some occasion, the blood clot will dissolve and leave the socket exposed, causing a condition known as dry socket. Dry socket usually happens due to smoking. Therefore we advise not to smoke for a few days after surgery.
- Weakening of the jaw bone- In very rare occasion, the wisdom tooth removal might result in fracture of jawbone if extensive bone is removed during the procedure.
Post operative care
There are some advices that you need to follow to aid in recovery after surgery.
- bite on the gauze provided for 30 minutes after surgery to stop bleeding
- avoid hot and spicy food for the day
- avoid smoking for a few days
- apply ice pack on face during the first day to reduce facial swelling
- keep the extraction socket clean by gently rinsing with salt water.
- avoid strenuous exercise for the day
- avoid gargling vigorously and spitting during the day to prevent blood clotting from dislodge.
