Teeth Whitening
Teeth Whitening Malaysia – Professional Treatment for a Brighter Smile
Why Teeth Whitening Matters
Discoloration of teeth is one of the most common dental concerns in Malaysia. Coffee, tea, smoking, and poor oral hygiene habits often lead to yellow teeth, surface stains, and deep stains that cannot be removed by regular brushing alone. Many people also experience discoloration due to aging, dental work, or lifestyle choices. This is why professional teeth whitening Malaysia services are in high demand. With safe and effective whitening treatment, you can restore the natural colour of your teeth and enjoy a confident smile.
Understanding teeth discolouration
Teeth can become discolored due to both extrinsic and intrinsic factors. Extrinsic stains occur on the outer surface of the teeth and are commonly caused by the consumption of coffee, tea, red wine, tobacco use, and poor oral hygiene. Intrinsic stains, on the other hand, originate from within the tooth and can result from factors like aging, certain medications, and excessive fluoride exposure during tooth development.
The Benefits of Teeth Whitening
Choosing professional whitening treatment offers several benefits:
- Whiter teeth and a dazzling smile with noticeable results.
- Cosmetic dental improvement without invasive dental procedure.
- Confidence boost for social, work, or personal situations.
- Longer lasting results compared to whitening strips or whitening toothpaste.
- Customised treatment plans based on the dentist’s experience and your oral health.
- Safe and effective approach that minimises gum irritation and temporary tooth sensitivity.
A professional dentist can help you achieve the desired level of brightness while protecting your gums, veneers, or other dental restorations.
Types of Teeth Whitening Treatment
In-Office Bleaching
One of the most popular professional treatments is in office whitening, also known as chairside whitening system. This whitening procedure uses whitening gel that contains hydrogen peroxide or carbamide peroxide, activated by a special light or LED light. The procedure works by releasing oxygen molecules that break down deep stains inside the enamel. In just about an hour, patients can see dramatic results – teeth up to eight shades lighter in a short period. Some patients may require multiple sessions for longer lasting results, depending on the severity of discoloration.. It is recommend for patient to visit a dental clinic.
Whitening Products
Other whitening products include whitening toothpaste, whitening strips, and over the counter products. These can help reduce surface stains and maintain natural teeth after professional treatments. However, they often cannot achieve the same dramatic results as dental whitening performed in a dental office.
Home Whitening Kits
Home whitening, also known as home bleaching, uses custom fitted trays and bleaching gel. Patients wear these trays for a few hours each day over several days or weeks. This method offers flexibility and gradual whitening results. Take home kits are effective for patients who want to whiten their teeth at their own pace, with the supervision of a dental professional. While not as fast as in office whitening, home whitening can deliver longer lasting results with less sensitivity.
Laser Whitening
Laser whitening is another form of in office treatments. A bleaching agent is applied to the teeth, and then a special light or laser activates the whitening agent for effective results. Clinical studies show that laser whitening is safe and can produce immediate results. For patients seeking the best option for visible results in a single visit, laser whitening is often the preferred choice.
How the Whitening Procedure Works
The whitening process begins with a dental professional evaluating your oral health. Any tooth decay, gum disease, or existing dental work such as veneers or dental restorations must be addressed first. Once cleared, the dentist protects your gums and applies whitening gel with hydrogen peroxide or carbamide peroxide. A bleaching agent or whitening agent penetrates the enamel, breaking down discoloration and lifting stains.
The entire procedure is effective performed in about an hour during in office whitening. Results typically vary depending on the initial shade of your teeth and the type of whitening treatment chosen. For patients using home whitening kits, whitening results become noticeable after several days of consistent use.
Safety and Sensitivity
Teeth whitening treatment is generally safe when carried out by a professional dentist. However, some patients may experience temporary tooth sensitivity or gum irritation. Dentists use lower concentration whitening products or adjust treatment times to reduce discomfort.
Professional treatments are designed to be whitening safe, with less sensitivity compared to over the counter products. Your dentist’s experience ensures that whitening agent or bleaching agent is applied correctly, preventing damage to gums or natural teeth. Maintaining good dental hygiene and oral health after treatment is essential for long lasting results.
Teeth Whitening Results
Teeth whitening services in Malaysia typically range in cost depending on the clinic, whitening products used, and whether you choose in office whitening, laser whitening, or home whitening kits. Results typically show noticeable results in a short period, sometimes after just one appointment. Patients who want best results may require multiple sessions, especially if they have deep stains or yellow teeth caused by coffee or tea.
Whitening effect usually lasts several months to a few years with proper dental care. Avoiding coffee, tea, and smoking, while maintaining good oral hygiene, helps extend results. For many, a brighter smile offers a lasting impression that enhances personal and professional interactions.
Who Needs Whitening Treatment?
- Patients with yellow teeth or deep stains.
- People seeking cosmetic dental solutions for a brighter smile.
- Anyone with sensitive teeth looking for less sensitivity whitening safe procedures.
- Individuals wanting a dazzling smile for their smile journey.
Our cases in Smile Craft
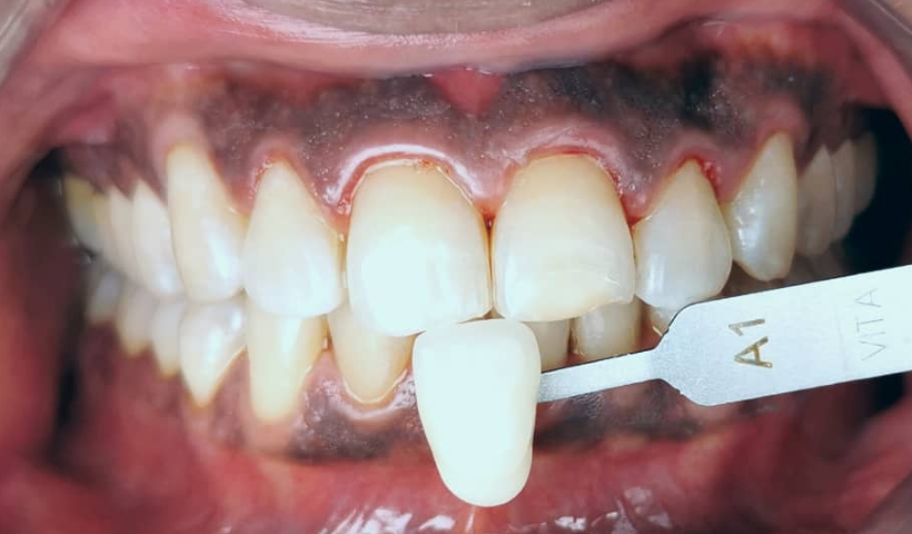
In office teeth whitening with Beyond 35% H2O2 gel, (The advanced teeth whitening)
Beyond whitening gel aided with high intensity blue LED light offers the best whitening results for patient looking for the whitest yet natural teeth.
Results: 10 shades improvement
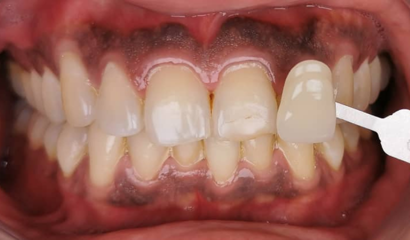
In office teeth whitening with Beyond 35% H2O2 whitening gel, (The Advanced teeth whitening)
Beyond whitening gel aided with high intensity blue LED light offers the best whitening results for patient looking for the whitest yet natural teeth.
Result: 10 shades improvement
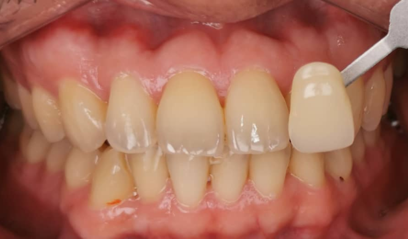
At home teeth whitening with Ultradent Opalescence whitening gel, (At home teeth whitening)
If you prefer to do whitening yourself at home, this is for you. We will give you a custom whitening tray and few syringes of whitening gel for you to wear while you sleep. And wake up with a brighter smile!
Results: shade improvement of 7 shades
In office with BlancOne whitening gel, (The Basic teeth whitening)
BlancOne teeth whitening only takes up 10 minutes with no sensitivity at all. It is also the most budget friendly whitening option.
Suitable for those looking for a clean look of their teeth or first timer for teeth whitening.
Results: shade improvement of 7 shades and 5 shades
Common FAQ about teeth whitening
1) How teeth whitening works?
Teeth whitening gels contains oxidising agents (whether carbamide peroxide or hydrogen peroxide) that penetrates your enamel to get to the discoloured molecules in your teeth. These discoloured molecules which are inside your tooth is not able to be removed by regular brushing or teeth cleaning.
Oxygen molecules released from the whitening gels will breakdown the discoloured molecules and the oxygen molecules will spread throughout the entire tooth. As a result you will get a brighter, whiter smile.
2) Is teeth whitening safe?
Teeth whitening is absolutely safe with no side effects when carried out by registered dentists.
3) Can pregnant woman or children undergo teeth whitening?
Teeth whitening on pregnant woman or children is not advisable. There is no long term research data on safeness of whitening procedure on them.
For more information, visit:
1) https://www.blancone.eu/en/
2) https://www.opalescence.com/my
Still have questions? Come visit us at our dental clinic at Puchong or message/call 010 888 2170 to know more! Click here to contact us.
We also serve in Subang Jaya, Seri Kembangan, Bukit Jalil, Petaling Jaya, Kuala Lumpur, Damansara Perdana, Sunway, Putrajaya, Malay, Shah Alam, Bangsar, and OUG across Selangor.
